Ранний послеоперационный период без осложнений.На утро пациенты в палате профильного отделения.
Рентгенологически на стороне операции легкое расправлено, задержки воздуха и жидкости в плевральных полостях нет у обоих пациентов.
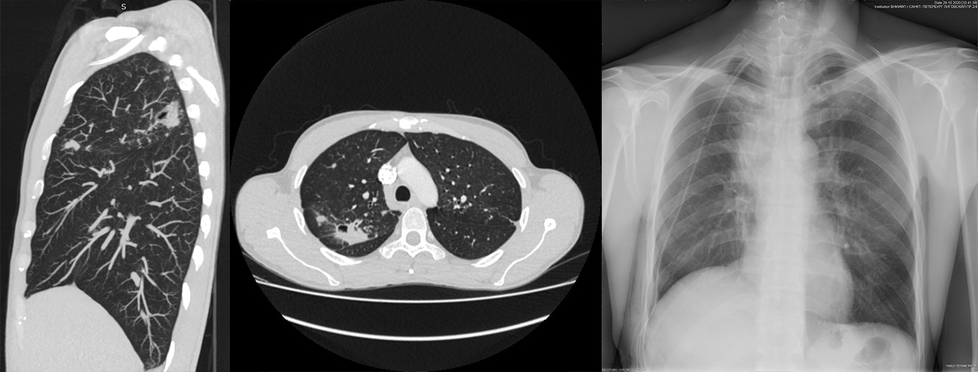
Больному с кавернозным туберкулезом верхней доли правого легкого, МБТ(-), ЛЧ МБТ выполнена робот-ассистированная верхняя лобэктомия справа. Консольное время операции составило 55 минут.
 
КТ-картина кавернозного туберкулеза верхней доли правого легкого с очагами отсева в пределах С1-С3. 
На утро состояние пациента стабильное, переведен из ОРИТ в общую палату отделения госпитализации. По данным рентгенографии органов грудной клетки 29.10.2020 легкие расправлены, инфильтрации в легких, воздуха и жидкости в плевральной полости не выявлено.   
Вторая демонстрация: пациент с исходно инфильтративным туберкулезом верхней доли правого легкого, МБТ (+), ЛЧ МБТ, осложненным правосторонним специфическим плевритом. На фоне лечения с февраля 2020 в ПТД по месту жительства противотуберкулезными препаратами I ряда проводились многократные пункции плевральной полости без существенной положительной динамики.
В июле процесс осложнился правосторонним пиопневмотораксом, в связи с чем выполнено дренирование правой плевральной полости. На фоне неэффективной закрытой санации правой плевральной полости на дренаже исход заболевания - формирование правосторонней хронической смешанной эмпиемой плевры с бронхоплевральным свищом (ПБ9), ассоциированной с МБТ (+) ЛЧ МБТ и Pseudomonas aeruginosa. Больному выполнена нижняя лобэктомия справа с эпмиемэктомией.
 
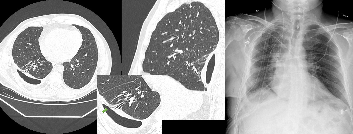
КТ-картина осумкованной эмпиемы плевры справа, признаки бронхо-плеврального сообщения с ПБ9, посттуберкулезные изменения в верхушке правого легкого.
На сегодняшние сутки состояние пациента стабильное, по данным рентгенографии органов грудной клетки 29.10.2020 легкие представляются практически расправленными, свежей инфильтрации в легких не выявлено.
Запись вебинара доступна по ссылке.